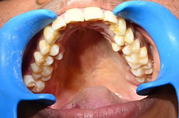
Если у вас не выросли зубы мудрости, то теперь вы знаете, у кого они: женщина с самым большим количеством зубов попала в Книгу рекордов Гиннесса.

У девушки на шесть зубов больше, чем у большинства людей: у жительницы Индии насчитали 38 зубов вместо 32-ух. При этом у неё нашли ещё два зуба, которые не прорезались. Больше только у мужчины из Канады — 41 штука.


По словам Калпаны, эти лишние зубы у нее с юности. Родители девушки рекомендовали ей удалить лишние зубы, однако она побоялась. Кроме того, дополнительные зубы не доставляли Калпане никакого неудобства, и она решила их сохранить.
Comments are closed.